Cover of the current Issue
Issue 44
On the Cover 

BDS ARTISTICA &
ACS SABRINA

Owned by:
Ben & Dori Sawatzky
Vernon, CANADA
Cover of the current Issue
Archives
Cover for issue 43
Cover for issue 38
Cover for issue 39
Articles
Join Made in Peru Magazine Mailing List
Join Made in Peru Magazine Mailing List
Remove Me From The Mailing List
Remove Me From The Mailing List
On the Back Cover 
Back Cover of the current Issue
*LB TESORO

Owned by

LA ESTANCIA ALEGRE
New Mexico, USA
Cover for issue 40
Cover for issue 41
Cover for issue 42
Editor's Comments

BY    ANA GANOZA
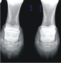
Metabolic bone diseases.

BY  FERNANDO RIBOTTA
The Importance of the Strength or Impulsion in the walking of the PPH.

BY  RENZO CROLLE C.
................................................................
................................................................
Art Fusion of Haute Couture:
Claudia Bertolero.

BY  ANA GANOZA
................................................................
26th Amancaes Show Results.
Judge: Renzo Crolle C.
Lima, July 3 to 5, 2009.
THE GOLDEN MARES
CALENDAR 2010
THE STALLIONS CALENDAR 2010
PERUVIAN RECIPES

BY ROXANNA SALAVERRY.
Glazed Lamb shin with rosemary mashed cassava.